整形外科について
我々は患者さん一人一人に向き合い、最適な治療を選択し、行うことをモットーとしています。
整形外科診療とは、骨、筋肉、腱、神経等の疾患(痛み、変形、機能障害など)に対しての治療を行います。
具体的には骨折や腱の断裂、肩こり、膝・股関節の痛み、首・背中・腰の痛み、背骨の変形、神経痛といった加齢によりもたらされた病気(慢性疾患)を治療します。
つまり、首から下の痛みやしびれ、筋力低下等についての診療を行なっています。
健康寿命がテーマになることが多い昨今、老若男女、皆様に非常に関わりがある診療科かと思います。
疾患によって原因や必要な治療が異なりますので、その都度適切な治療を、なるべく低侵襲になるように選択していきます。
突然症状が現れることも稀ではなく、当日や診療時間外でも可能な限り対応いたします。
対応疾患
脊椎疾患
背骨は人体の柱であるとともに、脳からの続きとして頚椎・胸椎で中枢神経である脊髄、そして腰椎レベルで馬尾神経の通り道と なっていきます。
脊髄は頚椎レベルでは上肢の神経に、腰椎レベルでは下肢の神経に分岐しますので、腰の疾患があると腰から下肢まで痛みやしびれが出現します。
これらの頚部痛、 腰痛、手足のしびれ、痛み等、背骨を原因とする症状に対して、患者さん一人一人に合わせた治療を選択し、行います。
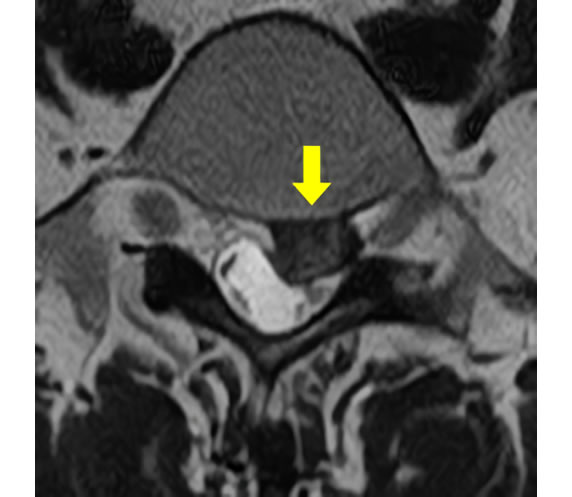
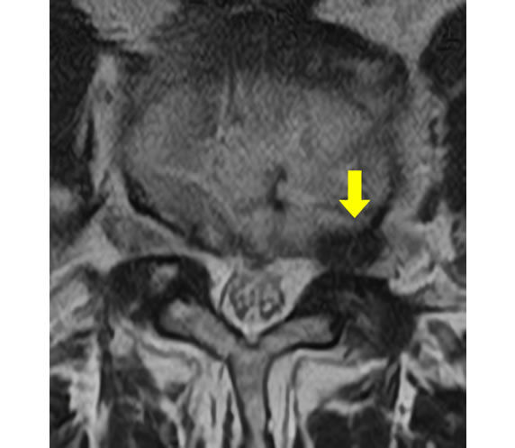
腰椎椎間板ヘルニアと腰部脊柱管狭窄症の違い
| 腰椎椎間板ヘルニア | |
|---|---|
| 椎間板のみが突出し、神経を圧迫した状態です。10~50 歳代に多いです。 | ![]() (腰椎を輪切り にした図) |
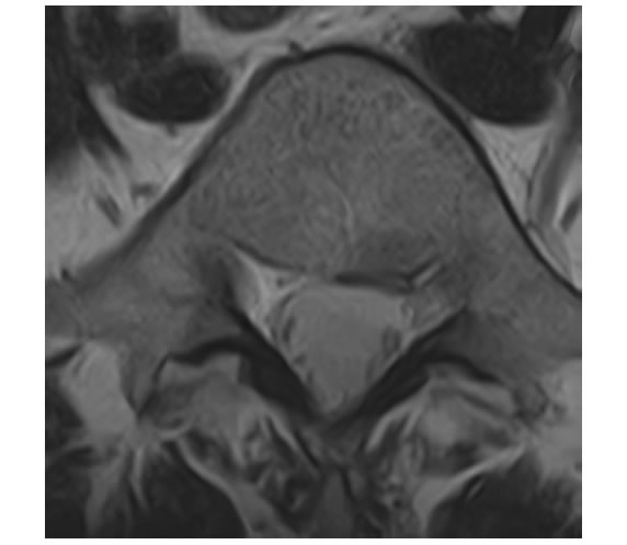
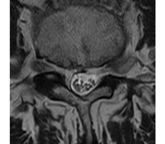
| 腰部脊柱管狭窄症 | |
|---|---|
| 椎間板以外に、靭帯や骨によって神経が圧迫されている状態となります。50歳以上に多いです。 | ![]() (腰椎を輪切りにした図) |
全内視鏡下脊椎手術について
当院では、症例によっては、 1cm程度の傷口で行える 内視鏡下ヘルニア摘出手術や、腰部脊柱管狭窄症に対する内視鏡下除圧手術を行っています。
術後の疼痛が少なく、体へのダメージも少ないので、術後すぐに動き出すことができます。
腰椎椎間板ヘルニアの場合は腰椎高位やヘルニアの位置によってアプローチを変更します。
左右どちら の腰から 下肢の痛みであれば、1ポータルでの手術を施行しています。
腰椎下位のヘルニアは後方から、それ以外のヘルニアは側方からアプローチします。
骨の形や上下の広がり、内外側の広がりなども考慮して、適切な方法を選択します。
後方から内視鏡でアプローチする場合は椎弓の 間の 黄色靭帯、 および最低限の椎弓を切除して 、 内視鏡を進入させます。

(共に腰椎を輪切りした図)
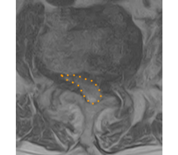
側方から内視鏡でアプローチするときに、神経を損傷しないよう Safety Triangle(下図参照)から内視鏡を進入させます。

腰椎を後方から見た図

腰椎椎間板ヘルニア摘出前

摘出後

腰椎を横から見た図

腰椎椎間板ヘルニア摘出前前

摘出後
ご高齢の方で、 骨の変形が強い場合は最低限の骨切除で椎間板、および靭帯を切除して、神経の圧迫を解除することもできます。

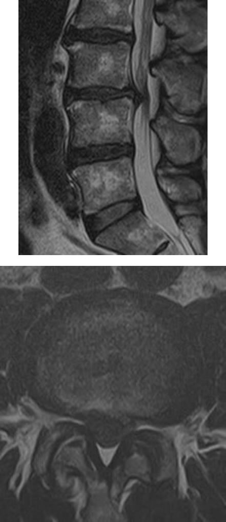
腰部脊柱管狭窄症術前

術後


1.ポータル脊椎内視鏡手術の様子と創部
また、 両脚の痛みや腰部全体の痛みの時には2ポータル内視鏡手術による除圧も可能です。
1cm程度の創部2か所で、 片側から対側まで除圧します。

腰部脊柱管狭窄症術前

片側進入対側除圧術後


2.ポータル脊椎内視鏡手術の様子と創部
手術のダメージが少なく、午前中にした手術した場合は当日、午後に手術した場合は翌日から離床が可能となります。 出血もごく少量となります。
椎体の不安定性は体格や年齢、生活環境などで出現します。
そのような患者さんには椎弓切除のみでは症状の改善が期待できないため、内視鏡下椎体間固定を行います。
内視鏡にて、移植骨、およびケージの挿入経路を作成します。


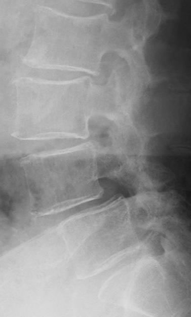
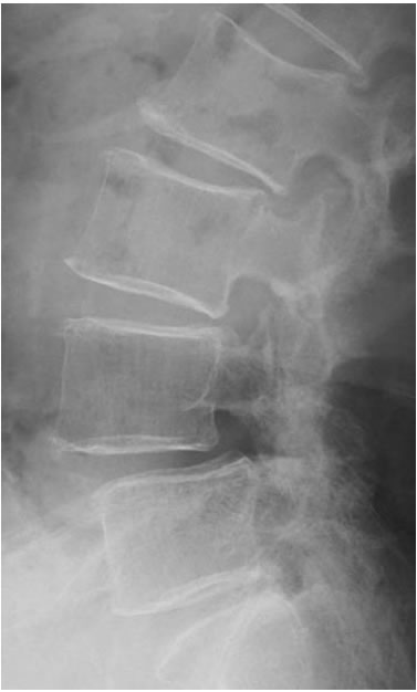
不安定性を擁している 腰椎すべり症のレントゲン



内視鏡腰椎椎体間固定術レントゲンと術後創部
骨粗鬆症性椎体骨折について
また、骨粗鬆症による椎体骨折に対して、6mm程度の傷口から骨折部にセメントを入れて
固める経皮的椎体形成術という手術も行なっています。
高齢者、特に女性は軽微なきっかけで背骨を骨折することが多くなっています。
痛みが強い場合はすぐに除痛すること も できますので、骨粗鬆症と一緒に治療する ことをおすすめします。
以上に挙げましたのは治療のほんの一例です。
その患者さんに合わせて、 首から腰まで対応できますので、お気軽にご相談ください。
関節疾患
膝や股関節などの変形による疼痛や靭帯損傷に対して治療を行います。
変形の程度、疼痛が強い場合は人工関節置換術にて痛みの緩和を図ります。
当院では外来リハビリがありますので、関節の変形に対する予防的筋力トレーニングから、術後の回復トレーニングまで行えます。
また、五十肩等の肩関節の痛みに対しても、マッサージ、ストレッチ等のリハビリを行えますので、ご相談ください。


外傷
転倒や事故による骨折に対しての加療を行います。
骨脆弱性骨折が増えていますので、軽微な衝撃でも手術が必要になることが多くなっています。痛みがある場合は迷わず当院受診
していただければと思います。
リハビリテーション
現在、高齢化社会であり、運動機能や移動機能の低下が著しい患者さんが散見されます。
定期的な運動は将来的な運動器疾患の予防にもなり、積極的にリハビリテーションをしていくことを推奨します。
適切な方法でトレーニングをしていけば、関節を痛めることなく、筋力を回復、もしくは筋肉をつけていくこともできます。
当院では入院中の周術期リハビリテーションに加え、外来で治療目的・運動器疾患予防目的のリハビリテーションも行っています。
人生100年時代に向けて、運動習慣をつけていきましょう。
リハビリ室
手術実績
| 2023年度 | 2024年度 | 2025年度 | |
|---|---|---|---|
| 脊椎手術 | 61件 | 151件 | 255件 |
| 人工関節手術 | 23件 | 26件 | 38件 |
| 外傷 | 150件 | 184件 | 175件 |
| その他 | 42件 | 40件 | 41件 |
| 合計 | 276件 | 401件 | 509件 |
外来担当医表
- 受付時間
- 平日・土曜日: 8:00〜17:30まで(午前診療〜12:30まで、午後診療〜17:30まで)
- 診療時間
- 平日・土曜日:[午前]9:00〜12:30/[午後]14:00〜18:00
(※救急対応は24時間体制)
午前
| 診察室 | 月 | 火 | 水 | 木 | 金 | 土 |
|---|---|---|---|---|---|---|
8 |
- |
平田 |
日大 |
日大 |
日大 |
日大/代田[※1] |
9 |
宮方 |
宮方 |
石垣 |
平田 |
石垣 |
宮方/日大[※2] |
14 |
- |
- |
- |
- |
- |
- |
午前診療のお知らせ
[※] 緊急手術等で時間変更・休診になりますのでご了承ください
[※1] 土曜日午前の診察室⑧は、日大Dr診察:第1,3,5週、代田Dr診察:第2,4週
[※2] 土曜日午前の診察室⑨は、宮方Dr診察:第1,3,5週、日大Dr診察:第2,4週
午後
| 診察室 | 月 | 火 | 水 | 木 | 金 | 土 |
|---|---|---|---|---|---|---|
8 |
日大 |
日大 |
日大 |
日大 |
日大 |
代田2,4週 |
9 |
平田 |
- |
- |
- |
- |
日大 |
午後診療のお知らせ
[※] 緊急手術等で時間変更・休診になりますのでご了承ください
[※2] 土曜日午後の診察室⑧は、代田Dr診察:第2,4週
医師紹介
- 院長
- 整形外科
- 常勤
- 出身大学
- 日本大学
- 専門医 / 所属学会等
- 日本整形外科学会専門医
日本整形外科学会認定脊椎脊髄病医
日本専門医機構脊椎脊髄外科専門医
日本脊椎脊髄病学会指導医
日本整形外科学会認定リハビリ医
臨床研修指導医
日本整形外科学会
日本脊椎脊髄病学会
日本脊椎インストゥルメンテーション学会
日本低侵襲脊椎外科学会
PED研究会
- 整形外科
- 常勤
- 出身大学
- 日本大学
- 専門医 / 所属学会等
- 日本整形外科学会専門医
日本整形外科学会認定脊椎脊髄病医
日本専門医機構脊椎脊髄病外科専門医
日本脊椎脊髄病学会指導医
医学博士
- 整形外科
- 常勤
- 出身大学
- 日本大学
- 専門医 / 所属学会等
- 日本整形外科学会専門医
日本人工関節学会認定医
- 整形外科
- 出身大学
- 防衛医科大学校
- 専門医 / 所属学会等
- 日本整形外科学会専門医
- 整形外科
- 出身大学
- 日本医科大学


